Что такое гипотиреоз
Нарушения функции щитовидной железы представляет собой два заболевания – гипотиреоз и тиреотоксикоз. Они противоположны друг другу.
Гипотиреоз обусловлен снижением работы щитовидной железы, что приводит е недостаточной выработке гормонов. Занимается такими пациентами врач-эндокринолог.
Существует много методик лечения...
Чем характеризуется артрит пальцев рук?
Достаточно часто у людей имеется такое заболевание, как артрит. Оно мешает нормальной жизнедеятельности, особенно на запущенных стадиях. Наиболее распространенным является артрит пальцев рук. Данное заболевание сопровождается болезненными ощущениями и плохой подвижностью составов. При отсутствии...
Способы реализации и восстановление людей в обществе в результате наркозависимости от клиники lifeclinic24
На сайте https://lifeclinic24.ru/reabilitaczionnyj-czentr-dlya-narkomanov/ можно узнать подробную информацию о центрах реабилитации для лечения наркомании. Данный реабилитационный центр имеет название lifeclinic24.
О деятельности центра по реабилитации наркоманов
Клиника lifeclinic24 работает уже больше 9 лет и довольно успешно. Реабилитация...
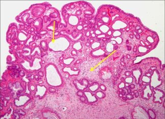
Карциноидная опухоль – симптомы, диагностика, лечение
Карциноид – целый спектр симптомов, которые являются результатом гормональной активности опухоли из нейроэндокринных клеток (АПУД-система). Комплексная симптоматика проявляется в приливах, диарее, болях животе и легких, фиброзном поражении правой половины сердца. Признаки болезни возникают из-за...
Какие бывают венерические болезни
Инфекции, передаваемые половым путем, называются венерическими заболеваниями. При малейшем появление признаков недомогания, связанных с половой сферой, необходимо сдать венерологические анализы в Москве.
Какие бывают венерические заболевания
Чтобы лучше понимать значение венерических заболеваний для человека, нужно знать,...
Отсутствие обоняния при коронавирусе и как долго оно длится
Коронавирус – это инфекционное заболевание, которое поражает слизистые оболочки организма человека, вызывая респираторно- вирусные заболевания различной степени тяжести: от насморка и чихания до двустороннего воспаления лёгких и летального исхода. Распространяется вирус очень быстро и...
Ларингит симптомы и лечение
Ларингит – это воспалительное поражение гортанной области. Лечением патологии занимается отоларинголог, реже педиатр, терапевт или инфекционист. Рассмотрим, симптомы и лечение фарингита у взрослых, детей.
О заболевании
Причина ларингита – воспаление слизистых тканей в гортани. Это распространенная форма...
Киста верхнечелюстной пазухи
Киста верхнечелюстной пазухи – одна из наиболее частых причин обращения к ЛОР-специалистам. Причина патологии — полостная структура костной ткани, которая постоянно заполняется слизистым секретом из множества желез, расположенных в гайморовых пазухах. Нарушения его оттока вследствие...
Какие заболевания лечит врач офтальмолог?
Многие задавались вопросом, что смотрит и проверяет врач офтальмолог при медосмотре. Этот специалист занимается проблемами, связанными с глазами. Он проводит первичный осмотр, чтобы установить реакцию на различные раздражители. После этого принимается решение о дальнейшей...
Причины обращения в ЛОРу
Медицинская сфера предусматривает наличие разных специалистов. Есть врачи общей практики, есть узкоспециализированные, т.е., их деятельность связана с лечением отдельных органов человека.
Именно, таким специалистом является ЛОР или правильно, отоларинголог. В его профиль входит лечение носа,...



















