Разные причины приводят к появлению черных точек на деснах, но прежде, чем приступить к лечению, следует разобраться, почему почернела десна около зуба. Профилактика и своевременное обнаружение позволят купировать потемнение десен и избежать осложнений, а своевременное лечение позволит быстро устранить проблему.
Почернение десен выглядят неприятно, но и зачастую сигнализируют о нарушениях в работе организма. Лечение напрямую зависит от причины появления проблемы. Почему чернеют мягкие ткани вокруг зубов и как этого избежать или устранить, рассмотрим ниже.
Почему темнеют десна. Причины заболевания
Чаще всего черная десна наблюдается у курильщиков. Пятна, локализующиеся на мягких тканях челюсти, могут быть точечными, протяженными, иметь большой или маленький размер.
Среди причин почернения можно выделить следующие:
- Курение – является самой часто встречающейся причиной.
- Кариес часто сопровождается изменением цвета тканей вокруг зуба.
- Наличие зубного камня.
- Гингивит и пародонтит.
- Стоматит.
- Травмы челюсти.
- Пломбирование зубов с использованием амальгамы. Причем количество пятен тем больше, чем большее количество зубов пломбировались таким способом.
- Болезнь Аддисона или Пейтца-Егерса.
Курение и темные десна
Человек, употребляющий никотин, подвергает вредному воздействию весь организм. Практически у всех курильщиков в той или иной степени имеются такие проявления:
- потемнение зубов;
- появление черных точек на деснах;
- горький привкус во рту;
- зловонное дыхание.
В лечении потемнения обычно применяют метод лазерной терапии, небольшие по размеру поражения излечиваются народными или аптечными средствами.
Следует знать, что к устранению пятен следует приступать только после полного отказа от курения. При возврате к пагубной привычке, проблема может возникнуть вновь.
Стоматит как причина почернения десны
Когда воспаляется слизистая оболочка рта, это состояние называют стоматитом, оно связано с иммунным ответом организма на раздражитель. Среди причин возникновения стоматита выделяют:
- Болезни желудка (гастрит).
- Очаги воспаления стенок тонкого и толстого кишечника.
- Инвазии вследствие поражения глистами.
- Недостаточное соблюдение гигиены ротовой полости, в результате чего возникают воспаления.
Для стоматита характерно наличие желтых или белесых язв и черных десен. Однако они могут приобретать насыщенный темный оттенок вследствие проникновения воспалений вглубь мягких тканей или кровотечений. Стоматит лечат местными средствами без применения аппаратных методов.
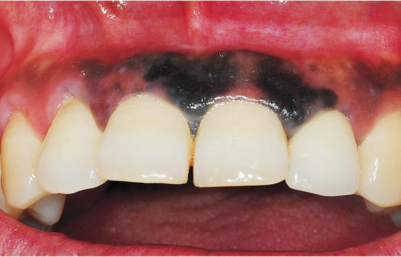
Черные пятна от амальгамовых пломб
На сегодняшний день амальгамовые пломбы используют редко. Ртуть и серебро, входящие в составе такой пломбы, обуславливают потемнение десен вокруг вследствие длительного контакта.
Изменения цвета от пломбы из амальгамы вреда здоровью не наносят.
Меланоз курильщика
Под этим термином подразумевают вызванное курением изменение оттенка слизистой оболочки рта.
Меланоз курильщика
Зачастую такие меланомы имеют вид пигментного пятна, которое окрашено в светлый или темно-коричневый цвет. Предвестниками появления меланом часто является потемнение зубной эмали и неприятный запах изо рта вследствие употребления никотина.
Меланомы курильщика локализуются в нижнечелюстной зоне, на небе, дне ротовой полости и внутренней поверхности щек.
Человек, столкнувшийся меланомой, требует постоянного врачебного наблюдения, поскольку за появлением таких пятен может последовать образование опухоли.
Синдром Пейтца-Егерса и болезнь Аддисона
При этих болезненных состояниях темные пятна появляются не только на десне, но также и на небе, губах и языке. Протекание болезней сопровождается проявлениями в ротовой полости с ранних лет.

Травма челюстей и десен
Неожиданно возникшее потемнение десны вокруг зуба может оказаться гематомой, которая возникла как последствие воздействия физического характера, такого как:
- удар, который пришелся по лицу или челюсти;
- сильное сдавливание ортопедическими конструкциями или твердой пищей;
- выбитый зуб;
- осложненное удаление зуба.
На месте травмы образуется кровоподтек вследствие разрыва капилляров. Образовавшийся синяк имеет черный или лиловый цвет, который по мере разложения гемоглобина приобретает коричневый и желтый цвет.
Важно! При серьезной травме гематома способна спровоцировать воспаление и некроз, поэтому нужно немедленно предпринять лечебные меры.
Почему почернела десна вокруг зуба
Если ткани почернели около зуба, это может являться следствием использования некачественных материалов при лечении зубов или протезировании. Кроме того, причиной появления темных пятен может оказаться кариес. Кариес запущенного течения отражается на состоянии ротовой полости: десна темнеет над зубом, образуются припухлости. Некоторые гормональные скачки также могут вызвать появление черных точек на деснах.
Черные пятна на десне у ребенка
У детей младше полутора лет черное пятно на мягких тканях ротовой полости может обозначать прорезывающийся зуб. В таком случае явление носит временный характер. Однако появление ярко-красного или бурого оттенка припухлости на десне у ребенка является поводом обращения к специалисту.
десна перед прорезыванием зуба
У ребенка черные пятна могут свидетельствовать о начале заболевания, которые зачастую вызваны недостаточным уходом за ротовой полостью, чрезмерным потреблением лекарств, ослаблением защитных функций организма.
Внимание! Воспаление во рту требует незамедлительного осмотра врачом.
Лечение почерневших десен
Для лечения темных пятен и точек, проводят медикаментозную терапию, исходя из характера заболевания, которое вызвало это явление. Врач также может скорректировать диету и порекомендовать общеукрепляющие средства.
Для устранения дефектов, вызванных кариесом, следует сконцентрироваться на купировании кариозного процесса. При наличии зубного камня показана процедура аппаратной чистки зубов. Если десна почернела после лечения зуба, используется противовоспалительная терапия и корректирующее протезирование или повторное лечение.
Важно! Отсутствие лечения проявившихся пятен во рту у взрослого человека может привести к некрозу тканей, который при отсутствии необходимого лечения может оказаться необратимым.
Лазерное лечение
Метод лазерной коррекции помогает в восстановлении мягких тканей. При помощи лазера убираются очаги воспаления.
Назначается процедура только после консультации с врачом, и, при необходимости, дополнительной гистологической диагностики. Лазерное лечение должен проводить только квалифицированный специалист, который не допустит нежелательных эффектов при проведении операции и исключит появление ожогов.
Медикаментозное удаление черных точек на десне
Процесс воспаления при появлении темных пятен в тканях ротовой полости можно устранить самостоятельно, применяя аптечные средства. Существую наиболее популярные средства борьбы с пятнами и точками, эффективность которых подтверждена:
- гель с антибиотиком «Метрогил Дента»;
- раствор в спирте «Ротокан»;
- раствор для полоскания с антисептиком «Хлоргексидин».

Параллельно с использованием средств, необходимых для снятия воспаления необходимо позаботиться о достаточном уходе за деснами. Чистка зубов должна производиться 2 раза в день, после каждого приема пищи должно следовать полоскание. Наиболее эффективно проявляются себя указанные выше медикаментозные средства при использовании их в комбинации.
Народные средства
Травяные и домашние средства также способны снять симптомы воспаления и помочь для устранения почернения на зубах. Однако применять способы народной медицины следует только при отсутствии аллергических реакций на отдельные компоненты.
Наиболее популярными для лечения почерневших тканей ротовой полости являются:
- Полоскание отварами таких трав, как душица, шалфей, мята и мелиса.
- Прикладывание сока алоэ.
- Полоскание раствором соды.
- Использование холодных компрессов после травматического повреждения.
раствор соды и соли
Профилактика потемнения десен
В качестве профилактики следует:
- бросить курить;
- соблюдать нормы гигиены ротовой полости и осуществлять ежедневный уход за деснами;
- проходить периодические стоматологические осмотры для раннего диагностирования заболеваний зубов;
- придерживаться сбалансированного питания.
Черные десна возникают вследствие разнообразных причин. Устранение заболевания лучше доверить специалисту. А соблюдение общих профилактических принципов поможет избежать проблем в ротовой полости в будущем.












