Большинство стоматологических пациентов посещают врача-стоматолога только тогда, когда в полости рта возникают болезненные ощущения от химических, термических и механических раздражителей.
В 67% случаев причиной для визита к доктору служит гнойное воспаление десен. Пациенты жалуются на болезненность около зуба, покраснение пародонта, а также образование припухлости. Далее выясним какие факторы провоцируют возникновение гноя в десне зуба, и какие существуют методы лечения воспалительной болезни.
Почему из десны идет гной

Пародонтальная ткань и периодонт подвержены внедрению инфекционных возбудителей. Стафилококк и другие патогенные бактерии выделяют токсичные вещества, раздражающие слизистую оболочку десен. Жизнедеятельность возбудителей приводит к возникновению признаков воспалительного процесса, а также к гноетечению.
Пациенты легко указывают на болезненную область десны и без затруднения описывают симптоматику заболевания.
Причины образования гноя в деснах
Гной в десне имеет несколько причин образования:
- воспалительные заболевания пародонта и периодонта (гингивит, пародонтит, периодонтит);
- болезни пародонта невоспалительного характера (пародонтоз);
- механические повреждения мягких тканей полости рта;
- химические ожоги слизистой оболочки десен;
- некачественное удаление минерализованных камней из под десны нижних зубов;
- глубокий кариес и его осложнения (гангренозный пульпит, периодонтит);
- некачественное лечение дентальных каналов;
- несоблюдение правил асептики и антисептики во время стоматологических операций;
- неисполнение лечебных рекомендаций, дающихся после удаления зуба;
- попадание пломбировочного материала и лечебной пасты за апекс корня во время терапевтического лечения;
- бруксизм, вследствие которого происходит стираемость жевательной поверхности и повреждение десен;
- полное отсутствие гигиены полости рта;
- снижение иммунной системы;
- эндокринные заболевания, в том числе сахарный диабет 1 и 2 типа.
Основываясь на причинах гнойного воспаления десен возле зуба, можно сказать, что главным фактором, вызывающим заболевание, служит жизнедеятельность патогенной микрофлоры.
Если же в полости рта число патогенных и полезных бактерий равно между собой, при травмах и других повреждениях слизистой ткани возможность образования гноя над зубом снижается до минимума. О том, как вытянуть гной и устранить причину болезни, можно узнать у доктора после диагностического обследования.
Признаки и симптомы появления гноя
Сильная боль во рту и выделение гноя при нажатии на десну заставляют прийти к стоматологу за медицинской помощью. Клиническая картина болезни описывается врачом-стоматологом во время визуального осмотра полости рта.
При гнойном воспалении десен обнаруживаются:
- покраснение слизистой ткани в месте локализации гнойника;
- припухлость, возвышающаяся над пародонтом на 2–3 мм;
- глубокая кариозная полость, заполненная размягченным дентином (если причиной болезни служит осложнение кариеса);
- пигментированный зубной налет и минерализованные отложения;
- галитоз (неприятный запах).
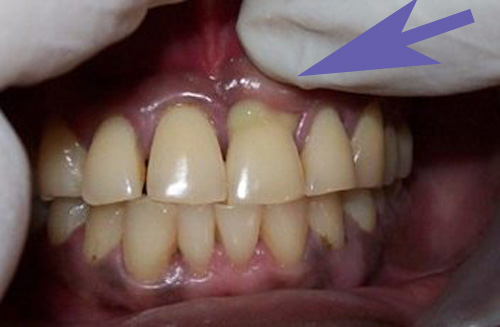
Помимо вышеперечисленных признаков, выявляются увеличенные лимфатические узлы, болезненные при пальпации. Конфигурация лица меняется, становится асимметричной. Гнойное изменение десны можно увидеть на фото.

Образование гноя под зубом вызывает следующие симптомы:
- сильная боль при надавливании на пораженный участок десны;
- чувствительность одного или нескольких зубов от всех видов раздражителей;
- дискомфорт во время пережевывания пищи;
- из десны идет гной после чистки зубов;
- состояние десен облегчается после того, как из десны выходит гной;
- при длительном течении болезни – боли в области живота и правом подреберье;
- увеличение температуры тела в вечернее время.
Появление признаков гноя на пародонтальной ткани индивидуально. Симптоматика гнойника зависит от запущенности стоматологической болезни, возраста пациента, наличия соматических нарушений внутренних органов, а также психологических качеств человека.
Если все же вышел гной через какое-то время, и утихла боль, это не значит, что болезнь отступила. При любых признаках воспаления во рту необходимо начинать лечение.
Лечение гнойного воспаления десны возле зуба
Что делать если в десне гной? Первым шагом любого стоматологического больного является визит к стоматологу. Лечение гноя во рту назначается лечащим врачом после осмотра полости рта и точной постановки диагноза. В зависимости от тяжести гнойного воспаления около зуба и жалоб пациента, терапия подразделяется на:
- медикаментозное лечение;
- хирургическое вмешательство;
- физиотерапию.
Хирургическое лечение
Если гной из десны не поддается терапевтическому и медикаментозному лечению, назначается хирургическая терапия. Перед операцией проводится санация полости рта и удаление бактериального налета с поверхностей зубов. Это необходимо для того, чтобы в операционное поле не попала бактериальная инфекция, и не было появления рецидива.
Под местной анестезией опухоль с гноем разрезается стерильным инструментом, а слизистая оболочка очищается от гноя. При длинном свищевом канале устанавливается дренаж, который вытягивает скопившийся гной из периодонта. Процедура выполняется в одно посещение, после которой пациент отпускается домой с лечебными рекомендациями.

В случае если зуб разрушен более чем на 45% и его не удается спасти, убрать гной можно лишь после экстракции. Стоматолог-хирург закрепляет на коронковой области стоматологические кусачки, и круговыми движениями извлекает зуб из лунки. Образовавшаяся рана обрабатывается антисептическими растворами и, если необходимо, зашивается хирургическими нитями.
Так как гной в 60% случаев образуется возле зуба мудрости, из-за сложности терапевтического лечения и анатомических свойств восьмерок, также проводится экстракция .
Часто можно встретить ситуации, когда после удаления зубов мудрости выделяется гной. Как правило, причиной такого осложнения может служить ошибочное оставление частей зуба в лунке. Устранить проблему поможет дополнительное хирургическое вмешательство с последующим удалением остатков дентального корня.
Лечение гноя в десне медикаментами
При начальной стадии болезни стоматологические пациенты удаляют гной с помощью лекарственных средств. Медикаментозная терапия также показана после хирургического вмешательства на пародонтальные ткани.
Для выведения гноя из десны около зуба и быстрого заживления раны назначаются:
- Частые антисептические полоскания 0,05% раствором хлоргексидина.
- Ежедневная двухразовая обработка пораженного участка антибактериальными и ранозаживляющими гелями («Метрогил дента», «Холисал»).
- Внутриротовые ванночки лекарственными веществами, содержащими растительные добавки («Стоматолфит», «Ротокан»).
- Антибиотики, уничтожающие деятельность болезнетворной микрофлоры («Ципрофлоксацин», «Флемоксин Солютаб»).
- Обезболивающие препараты («Дексалгин 25», «Нуровен»).
- Витаминные и минеральные комплексы («Компливит», «Витрум»).

Многие из вышеперечисленных лекарств имеют противопоказания к применению, поэтому перед тем, как убирать гной около зуба, нужно проконсультироваться с врачом-стоматологом.
Физиотерапия
Гной из десны при надавливании приносит сильное беспокойство. Лечение пародонта после удаления гноя проходит легче и быстрее с физиотерапией.
- Для устранения болевого синдрома после того, как удалили гной из десны, проводится ультразвуковая терапия.
- Вывести скопившийся гной и снять отечность поможет электрофорез.
- Если причиной гноя около зуба служит неправильное лечение каналов, для снятия воспаления с периодонта и улучшения обменных процессов в костной ткани назначается лазерное лечение.
Что делать и как вывести гной из десны в домашних условиях
Вытянуть гной из десны в домашних условиях можно следующими способами:
О том, чем полоскать полость рта при гное около зуба, может рассказать стоматолог. Для снятия местного воспаления и уничтожения болезнетворных бактерий назначаются настои трав для местного полоскания. С этой целью используются:
- ромашка;
- календула;
- кора дуба;
- шалфей;
- мята.

Для получения желаемого результата разрешается все перечисленные растения смешивать между собой и настаивать на водяной бане в течение 15 минут. Полоскания проводятся каждые 3 — 4 часа.
Известен тот факт, что соль вытягивает весь скопившийся гной из пародонта. Это объясняется тем, что ионы натрия и хлора притягивают тканевые жидкости, при этом сужая кровеносные сосуды. Это свойство делает солевой раствор популярным в лечении гнойных заболеваний десен.
Раствор соды и соли
Для приготовления раствора понадобятся:
- 250 мл. теплой чистой воды;
- 1 ст. ложка пищевой или морской соли.
После нескольких полосканий можно заметить, что из десен выходит гной, а боль при этом уменьшается. Несмотря на эффективность этого метода лечения, полоскания должны проводиться под наблюдением врача.
Как вывести гной из десны с помощью лука? Элементы, входящие в репчатый лук, обладают бактерицидными свойствами. Для устранения болезни следует аккуратно выдавливать гной около зуба, после чего наложить на десневую рану измельченный овощ.
Необходимо помнить, что лечение в домашних условиях не приведет к полному выздоровлению. Народные средства при лечении гноя десен лишь замедлят развитие болезни, но сама причина устраняется хирургическими и медикаментозными путями.
Особенности нагноения на десне у ребенка
Гной на десне у детей имеет идентичную клиническую картину, что и у взрослых людей. Практически всегда десна начинает нарывать по причине плохой гигиены полости рта. Плохая чистка зубов, кариозные полости, грязные руки и механические повреждения приводят к образованию гнойного очага возле зуба.
Для того чтобы вылечить болезнь без развития осложнений, необходимо обратиться к детскому стоматологу.
Чем вытянуть гной из десны у детей? В первое время облегчить состояние можно солевыми полосканиями. Традиционное лечение гнойника похоже на взрослую терапию, исключением является дозировка препаратов.
Осложнения после нагноения
Игнорирование гноя около зуба чревато развитием серьезных последствий. К опасным осложнениям гнойника во рту относятся:
- периодонтит соседних зубов;
- флегмона;
- абсцесс десны;
- сепсис.
Осложнения гноя у зуба опасны не только для здоровья, но и для жизни пациента. Чтобы предотвратить распространение гноя по всему организму, необходимо в скорые сроки начать стоматологическое лечение.
Профилактика
Соблюдение профилактических правил способствует предупреждению появления гноя на десне около зуба. Для предотвращения болезни нужно:
- Чистить зубы 2 раза в день по стандартному методу.
- Использовать дополнительные средства и предметы гигиены полости рта (ополаскиватель, нить флосс, ирригатор).
- 1 раз в 4 месяца проводить профессиональную гигиену полости рта.
- Ежегодно посещать стоматолога – терапевта для раннего выявления стоматологических нарушений.
- Отказаться о курения и употребления алкоголя.
- В свой рацион включать продукты, богатые витаминами А, В, С и Е.
Соблюдение профилактических правил является залогом здоровья зубов. Если из десны идет гной и появляются труднотерпимые боли во рту, необходимо сразу же обратиться к стоматологу. Вовремя выявленное заболевание и своевременное лечение способствуют быстрому выздоровлению.













