Запоздавшая или неграмотная терапия гнойничка на десне может привести к потере зубов, возникновению периостита, остеомиелита и другим осложнениям. В статье исключительно в информационных и предупреждающих целях рассказано, почему формируется нагноение пародонта, и как его лечат. При нарыве необходима экстренная консультация стоматолога. Только специалист может определить, почему образовался гнойник на десне, и проинформировать о том, что нужно делать, чтобы избежать рецидива.

Симптомы гнойного воспаления во рту
Пародонтальный абсцесс схож с патогенезом фурункула или чирья. Первые симптомы патологии выражаются в инфильтрации красного цвета и отеке окружающих тканей. Возникает боль при нажатии на место локализации инфекции. Через некоторое время появляется белый шарик, внутри которого содержится гной. Самочувствие человека ухудшается, наблюдаются признаки простуды: гемикрания, общая усталость, озноб.

Фото: так выглядит десна с нарывом
Гной на десне появляется над зубом или между зубом и десной в зависимости от локализации инфекции. Дальнейшее формирование гнойника можно распознать по следующим признакам:
- неприятный привкус и запах изо рта;
- расстройство речевой функции;
- ощущение дискомфорта в процессе жевания и глотания;
- посинение зубной эмали.
Этиология пародонтального нагноения
К основному источнику происхождения нарыва относят воспаление десен или периодонта. Опухание и кровоточивость десен наблюдаются на начальной стадии пародонтита под названием гингивит. Заболеванию также свойственна сверхчувствительность зубов и отсутствие болевых ощущений.

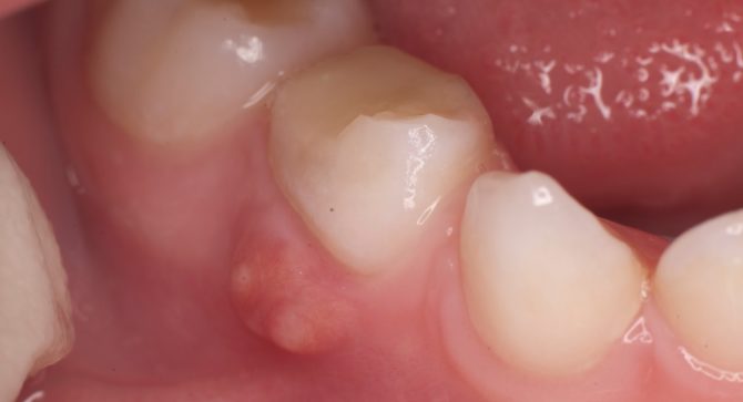
Фото: внешние признаки гнойника на десне при пародонтите
При игнорировании воспалительного процесса болезнь прогрессирует, образуются зубодесневые карманы, внутри которых накапливаются пищевые остатки, зубной налет, камень. Эти отложения провоцируют увеличение активности грамотрицательных и анаэробных бактерий, начинает гноиться десна.
Скопление гноя при периодонтите ограничивается зоной одного-двух зубов в пределах инфицированного периодонта. Нарывает десна строго у верхушки корня зуба. При прогрессирующем периодонтите типичны болевые симптомы при пальпации зуба и надкусывании пищи, потеря аппетита, повышение температуры.
Источниками возникновения нарыва у корня зуба могут служить:
- кариоз;
- пульпит;
- неграмотно выполненные стоматологические операции, в том числе имплантация зубов;
- повреждение зуба.
Причинами, по которым нарывает десна, могут быть также нарушения в функционировании органов пищеварения, снижение иммунитета, механические травмы, простуда и инфекционные процессы в ротовой полости.

Противопоказания при нагноении
Стремительному распространению инфекции способствует благоприятная среда для жизнедеятельности патогенной микрофлоры. К числу таких факторов относится тепло, в нем вредоносные бактерии образовываются и развиваются быстрее. Поэтому греть инфицированную область крайне опасно – нарывать и гноиться полость будет сильнее, а при отсутствии правильного лечения может начаться интоксикация.
Воспрещается вскрывать надрез самостоятельно. Перед процедурой обязательно проводится тщательная очистка и дезинфекция ротовой полости. Чаще всего гнойник вскрывают под местным наркозом.
К числу нежелательных процедур также относятся: употребление аспирина, выдавливание гноя, применение лекарств без назначения специалиста, употребление горячей или холодной еды.
Лечение абсцесса (нарыва на десне)
Как и фурункул, пародонтальный абсцесс во рту, если его вовремя не вылечить, вызывает такие осложнения, как:
- менингит;
- абсцесс головного мозга;
- сепсис;
- воспаление вен.
При обнаружении гнойного нарыва на десне следует обратиться к стоматологу для оперативного выявления источника пародонтального абсцесса тканей, полного устранения загноившейся полости и выработки грамотной стратегии терапии.
Хирургическое лечение гнойника на десне
Лечить нарыв на десне начинают с процедуры по удалению гнойного мешочка, то есть вскрытия десны в месте, где он появился. Отток гноя предотвращает распространение инфекции в организм через корневой канал зуба. После вскрытия мешка врач промывает полость рта и назначает лечение, основой которого являются антибиотики.

Лечение абсцесса десны проводится с учетом особенностей проявления и источника заболевания. При пародонтите важной процедурой является удаление зубных отложений. Нагноение вследствие некачественной имплантации требует чистки импланта. При обостренной форме флюса возможна резекция зуба.
Лечение гнойника на десне в домашних условиях
В случае если визит в стоматологию временно неосуществим, лечение нарыва на десне можно произвести в домашних условиях. Однако полностью вылечить образованный гнойничок средствами народной медицины невозможно, так как они купируют исключительно симптомы, причины патогенеза не устраняются.
Лечить гнойник на десне можно как обезболивающими препаратами, так и традиционными методами. Для улучшения общего состояния рекомендуется полоскать ротовую полость раствором марганцовки, Хлоргекседина, Фурацелина, а также употреблять большое количество воды.
Для купирования боли можно делать компрессы из водки и сбора трав. Горчичник, эрингиум и шалфей необходимо настоять в спиртовом растворе около двух часов. В настоявшейся жидкости смачивают бинт или марлю и прикладывают к загноившейся полости.
Среди эффективных домашних средств выделяют полоскание травяными сборами из:
- Сосновой хвои. Она помогает укрепить мягкие ткани и дезинфицировать очаг воспаления.
- Ромашки и зверобоя. Травы оказывают антисептическое воздействие.
- Растений репешка. Способствует снятию болевых ощущений.
- Шалфея и коры дуба. Обладают противовоспалительными свойствами.
Хорошо помогает устранить нагноение и снять боль средство из молотого перца. Сделать его можно в течение получаса. Для приготовления требуется смешать соль, сахар, несколько капель уксуса и перец с небольшим количеством воды. Смесь надо довести до кипения и остудить. Полученную массу следует наносить на очаг воспаления.
Средства народной медицины при лечении гнойника рассматриваются только как вспомогательные меры, поэтому даже при оттоке гноя из мешка и устранении болевых ощущений следует лечиться под наблюдением врача.
Особенности лечения нарывов на десне у детей
Если во рту у малыша появился белый шарик, применение народной медицины крайне не рекомендуется. У ребенка воспалительный процесс прогрессирует стремительней, чем у взрослого. Запоздавшее и неправильное лечение может спровоцировать заражение крови и другие опасные заболевания.
У взрослого и ребенка признаки абсцесса идентичны, гной в десне выглядит как на фото.

Терапия воспалительного процесса у ребенка зависит от очага инфекции. В случае поражения молочного зуба требуется его полная резекция. Лечение нагноения на коренном зубе аналогично устранению абсцесса у взрослых: проводится вскрытие мешочка и назначается антибактериальная терапия.
Что делать после лечения
После врачебного вмешательства пациенту желательно избегать стрессовых ситуаций, соблюдать диету и принимать медикаментозные препараты, направленные на борьбу с инфекцией. Снизить риск появления абсцесса позволяет санация ротовой полости. Комплекс превентивных мер включает в себя:
- Гигиену полости рта. Выполнять гигиенические процедуры следует 2 раза в день: утром перед приемом пищи и вечером после еды. Специалисты также советуют скрупулезно подходить к выбору зубной щетки и использовать дополнительные средства по уходу за полостью рта.
- Полоскание и очистку ротовой полости от застрявших кусочков еды после каждого приема пищи и перекуса.
- Регулярное посещение стоматологического кабинета с целью своевременного обнаружения заболевания.
- Отказ от употребления табачных изделий.
- Употребление твердой пищи.
Формированию абсцессов подвержены люди всех возрастных категорий, поэтому крайне необходимо привить ребенку базовые навыки по уходу за полостью рта. Недопустимо пренебрежение гигиеническими процедурами и взрослыми людьми, особенно если им установлены зубные протезы или брекеты.












