Что такое эрозия шейки матки? Причины возникновения, диагностику и методы лечения разберем в статье доктора Лубнин Д. М., гинеколога со стажем в 21 год.
Определение болезни. Причины заболевания
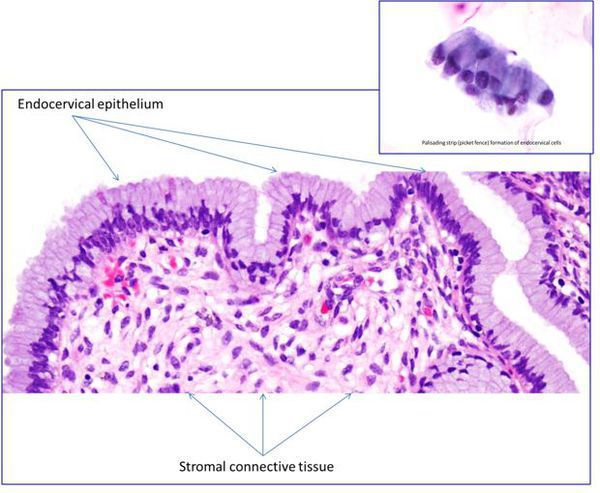
Эрозия шейки матки не является заболеванием. Это физиологическое явление, при котором цилиндрический эпителий, выстилающий канал шейки матки, выходит за пределы канала и располагается снаружи шейки. Шейка матки является неотъемлемой частью матки — входом в ее полость, по форме она напоминает узкое горлышко у фляжки. Часть шейки расположена во влагалище, ее покрывает многослойный плоский неороговевающий эпителий, по сути, кожа, только без плотного наружного слоя. На стыке канала шейки он встречается с сочным цилиндрическим эпителием, имеющим железы для производства слизи. Это зона трансформации. Когда эта зона смещается наружу, цилиндрический эпителий виден на поверхности шейки матки в виде ярко-красного пятна, окружающего вход в шейку. Подобный вид придает эрозии кислая среда влагалища, оказывающая раздражающее действие на нежный цилиндрический эпителий.

Что такое эктопия и эктропион
Термин «эктопия» заменил устаревший термин «эрозия», однако последний иногда ещё используется врачами.
Эктропион — это осложнённая форма эктопии шейки матки, выворот внутренней части шейки матки в полость влагалища
Как возникает эрозия шейки матки
Причины появления эрозии шейки матки неизвестны. На Западе она считается нормальным физиологическим явлением, не требующим вмешательства, в то время как в Китае эрозия шейки матки признана разновидностью хронического цервицита и часто подлежит лечению. [1] Считается, что раннее начало половой жизни (до 16-17 лет) также провоцирует ее появление, так как шейка матки еще незрелая в этом возрасте, и зона трансформации в норме может выступать за пределы канала шейки матки, что приводит к ее травматизации во время полового акта.
Эрозия шейки матки выявляется у 80 % сексуально активных молодых женщин, а ее распространенность снижается между 30-40 годами. Поскольку причины эрозии шейки матки до сих пор не совсем понятны, существует предположение о том, что она может быть связана с гормональными колебаниями. В пользу этой версии свидетельствует тот факт, что эрозия наиболее часто встречается у девочек-подростков и беременных женщин. [2]
Ранее считалось, что эрозия значительно более распространена у женщин, принимающих оральные контрацептивы, чем у тех, кто использует барьерные методы контрацепции. [3] Ряд современных исследователей связывают возникновение эрозии шейки матки с использованием не только оральных контрацептивов, но и внутриматочных, так как считается, что те склонны к травматизации шейки матки. Не исключается и инфекционная природа эрозии шейки матки, в частности, виновниками ее возникновения в ряде случаев называются Chlamydia trachomatis [4] , Neisseria gonorrhea [5] и вирус простого герпеса [6]
Чем опасна эрозия шейки матки
Эрозия (эктопия) шейки матки никакой опасности для организма женщины не несёт. Истинная эрозия шейки матки встречается редко, чаще всего это следствие травмы или воспаления на шейке, но может быть и следствием дисплазии шейки матки. Если истинная эрозия является следствием воспаления или травмы — она проходит в процессе лечения этих заболеваний самостоятельно. Если эрозия является проявлением дисплазии (чаще всего в довольно запущенных случаях), она иссекается при эксцизии или конизации шейки.
Симптомы эрозии шейки матки
Эрозия шейки матки проявляется в основном обильными слизистыми выделениями из половых путей, а также контактными кровянистыми выделениями, возникающими после полового акта.
Причиной появления выделений является избыточное образование слизи цилиндрическим эпителием. Контактные кровотечения возникают из-за травматизации поверхностных тонкостенных сосудов, которые могут располагаться на эрозированной поверхности шейки матки. Примерно у четверти женщин, которые отмечают жалобы на посткоитальное кровотечение, была диагностирована эрозия шейки матки. [7]
Что может чувствовать женщина
В подавляющем большинстве случаев эрозия шейки матки протекает безболезненно и бессимптомно.
Патогенез эрозии шейки матки
Эрозия шейки матки — чаще всего врожденное состояние. Во время созревания репродуктивной системы цилиндрический эпителий изначально расположен снаружи шейки и по мере созревания уходит в канал шейки матки. Вероятно, не всегда этот процесс завершается до начала половой жизни, которая может влиять на скорость его завершения. Наличие эрозии также связывают с приемом контрацептивов, с периодом беременности. Предполагается, что это связано с воздействием эстрогенов на шейку матки. Наличие воспалительного процесса в канале шейки матки также может поддерживать наличие эрозии, препятствуя ее исчезновению.

Классификация и стадии развития эрозии шейки матки
- врожденная (эктопия, псевдоэрозия);
- истинная, возникающая как проявление заболевания шейки матки, являющаяся изолированным дефектом на шейке матки и имеющая отношение к более серьезным заболеваниям.
Эрозия шейки матки по данным кольпоскопии

Осложнения эрозии шейки матки
Цилиндрический эпителий за счет особенностей своего строения легче восприимчив к развитию в нем воспаления, которое вызывают условно патогенные микроорганизмы и инфекции, передающиеся половым путем. При этом развивается такое состояние как цервицит — воспаление канала шейки матки. Цервицит может быть причиной длительного существования эрозии.
Эрозия шейки матки сама по себе не имеет никакого значения в развитии дисплазии шейки матки и рака шейки матки. Эти опасные заболевания развиваются на шейке матки независимо от наличия эрозии.
В процессе самостоятельного заживления эрозии или после проведения ее деструкции многослойный плоский эпителий нарастает на цилиндрический, в результате перекрывается часть выводных протоков желез. В результате формируются кисты на шейке матки, которые еще называются “наботовы кисты”. Они бывают различного размера и совершенно не опасны, лечить их не надо.

Эрозия шейки матки при беременности
Эрозия шейки матки часто встречается у беременных женщин и является одной из основных причин появления кровянистых выделений во время беременности. Такое кровотечение возникает из небольших поверхностных сосудов эрозии и совершенно неопасно.
Диагностика эрозии шейки матки
Эрозия шейки матки легко выявляется при ее осмотре на кресле с использованием зеркала, она выглядит как ярко-красное пятно различного размера вокруг входа в канал шейки матки. На следующем этапе проводится кольпоскопия — исследование шейки матки под микроскопом с применением окрасок.
Осмотр

Кольпоскопия
Это исследование совершенно безболезненное. Кольпоскопия позволяет выявить на шейке признаки, характерные для различных заболеваний, которые не видны при обычном осмотре.

Необходимые лабораторные исследования
Третьим обязательным методом обследования является цитологический мазок с шейки матки, желательно выполнять так называемую “жидкостную цитологию”, такой вариант анализа является более информативным и точным. Цитологическое исследование позволяет не только подтвердить диагноз эрозия, но и исключить или выявить наличие атипических клеток, характерных для дисплазии шейки матки.
При отсутствии в результатах кольпоскопии и цитологического мазка патологических элементов, присущих дисплазии шейки матки, показаний для проведения биопсии шейки матки нет.

Лечение эрозии шейки матки
Нужно ли лечить эрозию
В подавляющем большинстве случаев показаний для лечения эрозии шейки матки нет, она сама исчезает со временем. Процесс ее заживления еще называют словом “эпителизация”, то есть при этом процессе на цилиндрический эпителий нарастает многослойный плоский, и граница между этими эпителиями отодвигается ко входу в канал шейки матки.
Лечение эрозии до беременности
Большая часть исследователей сходится во мнении, что эрозия в лечении не нуждается, если протекает бессимптомно и не доставляет женщине неудобств. [9] Хотя большинство современных методов лечения в значительной степени способствуют регрессии эрозии шейки матки, некоторые симптомы могут так и не исчезнуть после лечения. [10]
Последствия эрозии шейки матки. Почему нельзя запускать патологию
Поскольку наличие эрозии шейки матки может значительно повысить восприимчивость шеечного эпителия к инфекциям, среди которых хламидии, папиломавирус, цитомегаловирус и даже ВИЧ, понимание этиологических факторов, которые способствуют возникновению эрозии шейки матки, является важным направлением для исследований. [11]
В пользу необходимости лечения эрозии шейки матки говорит тот факт, что при наличии эрозии увеличивается секреция шеечной слизи, что может доставлять женщине значительные неудобства. Кроме того, в очень редких случаях некоторые связывают с эрозией шейки матки, помимо посткоительных кровотечений, болезненные ощущения в области малого таза. [8]
Радиоволновое лечение и лазерная вапоризация
Лечение эрозии шейки матки предполагает деструкцию цилиндрического эпителия на той части шейки матки, где он располагаться не должен. Оптимально выполнить прижигание эрозии шейки матки радиоволновым прибором (Фотек, Сургитрон) или лазером.

Описание метода прижигания эрозии шейки матки
Сeществует только два показания для лечения эрозии шейки матки: наличие большого количества обильных слизистых выделений из половых путей, а также появление контактных кровянистых выделений (после полового акта или в результате физической активности).
Прижигание эрозии радиоволновым прибором или лазером — это быстрая безболезненная амбулаторная процедура, которая занимает 10-15 минут. Если возникла необходимость прижечь эрозию, то бояться этого не нужно. Современные методы лечения не оказывают никакого отрицательного воздействия на шейку с точки зрения перспективы беременности и родов.
Химическая коагуляция
Химические методы (например, с помощью «Солковагина») трудоёмки и требуют нескольких посещений врача, в то время как радиоволна или лазер справляются с задачей за одну процедуру.
Диатермокоагуляция и криокоагуляция
Методы устарели и для лечения эрозии шейки матки больше не применяются.
Медикаментозное лечение
Медикаментозное лечение при эрозии шейки матки не проводят. Исключение — ситуация, когда причиной истинной эрозии является воспаление. В таком случае принимают препараты, необходимые для устранения основного заболевания, а эрозия в процессе лечения проходит самостоятельно.
В чем опасность несвоевременного прижигания эрозии
Никакой опасности для организма существование эктопии не создаёт. Наоборот, прижигание эктопии без показаний приводит к переводу переходной зоны шейки матки в канал, что не позволяет следить за изменениями эпителия в этой зоне.
Рекомендации после проведённого прижигания
После прижигания эктопии шейки матки рекомендуется воздержаться от половой жизни, активного спорта и посещения бани на 40 дней.
А возможна ли беременность после прижигания
Репродуктивная функция после прижигания эрозии не нарушается.
Лечение эрозии народными средствами
Народные методы лечения не проверяют в ходе клинических исследований, поэтому их безопасность и эффективность не доказаны.
Прогноз. Профилактика
Прогноз у эрозии шейки матки всегда благоприятный. Так как она чаще всего выявляется у женщин, рано начавших половую жизнь, профилактикой этого явления может быть только рекомендация воздержаться от столь раннего дебюта (речь идет о возрасте до 15-17 лет).
]]>














