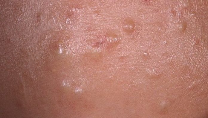
Посещая косметологический кабинет, каждый человек рассчитывает на то, что состояние его кожи улучшится. Но иногда после сеансов массажа на теле появляются прыщи без видимых на то причин.
Почему появились прыщи?

Существует несколько факторов, которые способны повлиять на возникновение высыпаний на коже после проведения сеансов массажа. Такая кожная реакция может появляться из-за:
- Аллергии на используемые массажные масла, гели, крема и прочие дополнительные продукты. Как правило, современные косметологические средства изготавливаются с добавлением многих химических компонентов, на которые организм может отреагировать не слишком благоприятно. Обычно аллергические прыщи сопровождаются отечностью и зудом кожи, но иногда такие реакции являются не слишком выраженными.
- Наличествующих кожных проблем. Если еще до массажа на коже находились прыщики или небольшие проблемные участки, то проведение процедуры может подстегнуть развитие воспалительного процесса и даже его распространение на большую площадь.
Иногда появление прыщей на теле после массажа никак не связано с проведенной процедурой. Высыпания могут возникать из-за недостаточно правильного питания, гормональных колебаний и прочих факторов.
Лечение сыпи
Прыщи, появившиеся на коже после массажа, требуют правильного лечения, особенно если они возникли в середине курса процедур. Ведь до купирования воспалительного процесса не рекомендуется продолжать сеансы. Вне зависимости от того, где появились высыпания, стоит:
- Уделять особое внимание гигиене, регулярно принимать душ, но не тереть пострадавшую кожу мочалкой.
- Носить одежду из натуральных тканей.
- Не дотрагиваться лишний раз до прыщей.
- Пить побольше чистой воды.
- Придерживаться диетического питания.
Если сыпь сопровождается зудом, для его купирования можно принимать антигистаминные медикаменты в дозировке, прописанной в инструкции. В такой ситуации важно информировать массажиста о возможной аллергической реакции.
Ни в коем случае нельзя ковырять прыщики, появившиеся на коже. Это чревато развитием серьезных воспалительных процессов и распространением инфекции на значительную площадь тела.
На лице

Для обработки высыпаний на лице, появившихся после массажа, можно использовать разные косметологические и аптечные средства:
- Доступную цинковую или цинково-салициловую мазь. Также можно использовать болтушку с цинком — Циндол и раствор салициловой кислоты. Все эти лекарства следует наносить лишь точечно.
- Ихтиоловую мазь либо мазь Вишневского. Такие средства идеально подходят для устранения глубоких подкожных прыщей.
- Популярные средства вроде Скинорен и Базирон.
- Препараты с антибактериальными компонентами Зинерит, Клензит С.
Лечение прыщей на лице от массажа ничем не отличается от терапии обыкновенных угрей. Чаще всего кожные дефекты проходят буквально за несколько дней, максимум — недель при условии правильной терапии.
На спине и ногах
Справиться с сыпью на спине и ногах несколько легче, чем с высыпаниями на лице. Ведь при терапии таких прыщей некуда спешить, так как они находятся на не самых заметных участках тела. Кроме того, кожа в таких местах не столь чувствительна и не склонна к раздражению. Чтобы убрать высыпания, можно:
- Принимать ванны с добавлением морской соли.
- Применять средства для душа с салициловой кислотой или бензоилпероксидом.
- Использовать доступное дегтярное мыло.
- Смазывать небольшие прыщики точечно йодом.
- Пару раз в день протирать кожу Хлоргексидином — недорогим и эффективным антисептиком.
Допускается сочетание нескольких средств. В частности, можно принимать душ с дегтярным мылом, после чего обрабатывать кожу лосьоном с бензоилпероксидом или тоником с салициловой кислотой. Также возможно точечное нанесение цинковой или салицилово-цинковой мази, а еще мази Вишневского.
Терапия у ребенка

Стоит отметить, что высыпания после массажа у деток — это не редкость. Конечно же, малышей нельзя лечить при помощи стандартных «взрослых» средств. На помощь могут прийти:
- Ванночки. Отличной находкой может стать банальный светло-розовый раствор марганцовки. Но при этом родителям нужно быть очень аккуратными, чтобы в воду не попали крошечные нерастворившиеся кристаллики перманганата калия. Также вполне можно готовить ванночки с отварами трав, на кожу благоприятно влияет ромашка и череда, а также дубовая кора. Готовить отвары нужно в соответствии с инструкцией на коробочке, а после добавлять полученное средство в подготовленную ванночку.
- Крем Бепантен. Такое средство отлично поможет, если кожа у малыша суховата и на ней появляется шершавая сыпь. Бепантен имеет в своей основе декспантенол (одну из форм витамина В5), неплохо увлажняет и питает кожу, а также способствует активной регенерации.
- Зеленка. Иногда ей можно точечно смазывать прыщики.
- Фенистил гель. Если сыпь возникла, как аллергическая реакция на массажное средство, можно точечно нанести на прыщики этот противоаллергический препарат. Само собой, в дальнейшем нужно проводить массажи без аллергенного вещества.
При лечении высыпаний у детей нужно обязательно убедиться, что сыпь появилась именно от массажа. Ведь такая кожная реакция может быть следствием аллергии на косметику, продукты питания и моющие средства, а также симптомом многих неприятных заболеваний.
Профилактика

На самом деле, куда легче избежать прыщей после проведения массажа, чем долго и упорно бороться с уже возникшими образованиями. Для профилактики высыпаний рекомендуется:
- Придерживаться правильного образа жизни и ухаживать за кожей до визита к массажисту.
- Непосредственно перед походом в массажный кабинет принять полноценный душ, очищая кожу от грязи и токсинов.
- Хорошенько вымыться вскоре после массажа, даже если кажется, что массажист полностью удалил остатки геля или масла с кожи. Если сразу после процедуры отправиться на работу или по каким-то другим делам, избежать прыщей вряд ли получится. При очистке лица мягкими средствами (вроде пенки или геля), нужно хорошенько помассировать кожу в течение минуты, чтобы скопившиеся в порах частички сала и отмершие клетки успели раствориться.
- Отдавать предпочтение не маслам, а специальным гелям для массажа.
Конечно важнейшую роль в профилактике высыпаний на коже играет выбор косметологического салона и массажиста. Специалист должен обязательно соблюдать основные нормы гигиены.















