
Псориаз и экзема — похожие заболевания, но спутать их трудно, когда знаешь четкие различия. При псориазе пятна красные, с сухими чешуйками и корками. При экземе же пятна покрыты розовыми пузырьками величиной с булавочную головку. Лечить экзему, как и псориаз, результативно с помощью ультрафиолета 311 нм.
Чем отличается псориаз от экземы

Некоторые больные задаются вопросом — как отличить экзему от псориаза? Действительно, у болезней много общего и даже внешние признаки схожи.
Но есть разница псориаза и экземы, которые видна даже без обследования:
- Псориаз — аутоиммунная болезнь, которая вызвана многими причинами, включая генетические.
Экзема — хроническое или острое воспалительное заболевание, также может быть вызвано многими причинами. - Один из ключевых факторов развития экземы — аллергены (пищевые, растительные, микробные, грибковые, химические и др.).
В развитии псориаза нет аллергических факторов. - Основной элемент экземы: розовый пузырек с жидкостью размера с булавочную головку и чуть больше.
Элементами псориаза, в основном, являются бляшки и чешуйки на них. Пузырьки с жидкостью — признак пустулезного псориаза, но они белого или желтоватого цвета. При экземе также признак — отечность кожи под пузырьками. - При диагностике псориаза используют феномен псориатической триады: при поскабливании бляшек последовательно появляются «стеариновое пятно», «терминальная пленка», «кровавая роса». При экземе этих явлений нет.
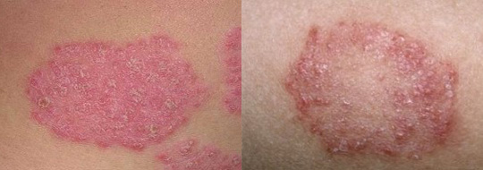
Псориаз и экзема: фото
Чтобы узнать отличие псориаза от экземы, посмотрите фотографии.
Признаки псориаза и экземы
Внимательно изучите сравнительную таблицу, чтобы отличить болезни.
| Псориаз | Экзема |
|---|---|
| Красные пятна приподнятые над поверхностью кожи. | Красные пятна на отечном фоне. |
| Сухость, чешуйки, шелушение, корки практически с появления первых признаков псориаза. | Корки и сухие чешуйки в одной из поздних стадий болезни и при себорейной экземе. |
| Пузырьки с жидкостью белого или желтоватого цвета только при пустулезной форме псориаза. | Пузырьки розового цвета с гноем при любой форме болезни. |
| Отека кожи не бывает при псориазе. | Всегда есть отек кожи и расширение сосудов. |
| Жжение и зуд иногда. | Жжение и сильный зуд характерны для большинства случаев. |
| Незаразное заболевание. | Незаразное заболевание. |
Причины псориаза и экземы
Причины псориаза изучены недостаточно. В основном, псориаз вызывают генетические причины, предрасположенность. Но есть и провокаторы, которые вызывают рецидив, первое проявление болезни:
Экзема — многофакторное заболевание, ее появление вызывают сочетание следующих факторов:
- генетическая предрасположенность;
- аллергены: бактерии, грибки, химические вещества, лекарства, пищевые продукты и др.;
- нарушение пищеварения, болезни желудочно-кишечного тракта;
- нарушение обмена веществ.
И псориаз, и экзема передаются по наследству.
Если псориазом болен один родитель, то вероятность передачи болезни 8-13%. Если оба — то 50-60%.
Если экземой болен один родитель, то болезнь передается в 30-40% случаев. Если оба — то в 50-60% случаев.
Экзема, псориаз, лишаи

Лишай — общий термин, который обозначает болезнь, при которой появляются воспаленные пятна, узелки, папулы. Многие из нас наверняка ловили себя на том, что порно немного надоело и уже не вызывает той бури эмоций, которая была поначалу. Некоторых это даже пугает – дескать, я старею, теряю интерес к сексу и так далее. Не переживайте, на самом деле все не так – просто порнорежиссеры чересчур заигрываются с ненужным сюжетом и однообразием поз и способов проникновения. На фоне полнометражных роликов коллекция анимаций gifkin.net кажется глотком свежего воздуха, ведь здесь нет ничего лишнего – только самые лучшие кадры. Будьте осторожны: перевозбудиться можно буквально за считаные секунды! . Различают несколько видов лишая:
Сравнительная таблица: экземы, псориаз, дерматит
Сравните три заболевания по их отличительным признакам:
- красные пятна с сухими чешуйками;
- шелушение;
- зуд, жжение (иногда);
- папулы с жидкостью (при пустулезном);
- обострение зимой и осенью;
- часто поражение ногтей.
- красновато-розовые пятна с мелкими розовыми пузырьками;
- жжение и сильный зуд;
- мокнутие;
- серозные корки, сухие чешуйки.
- воспаление и отечность;
- зуд и жжение;
- волдыри, пузыри на воспаленном месте;
- повышенная температура в месте воспаления.
Сравнительная таблица: экземы, псориаз, атопический дерматит
Сравним следующие болезни: экземы, нейродермит, псориаз. Нейродермит — устаревшее название атопического дерматита.
- красные пятна с сухими чешуйками;
- шелушение;
- зуд, жжение (иногда);
- папулы с жидкостью (при пустулезном);
- обострение зимой и осенью;
- часто поражение ногтей.
- красновато-розовые пятна с мелкими розовыми пузырьками;
- жжение и сильный зуд;
- мокнутие;
- серозные корки, сухие чешуйки.
- зуд;
- в младенчестве: отечные красные пятна, мокнутие, пузырьки с жидкостью;
- в детском возрасте: воспалительные папулы на запястьях, предплечьях, локтевых и подколенных сгибах; пигментация век; обострения весной и осенью.
- в подростковом и взрослом периодах: красные пятна, шелушение; локализация – локти и колени на сгибах.
- к 30 годам у большинства больных наступает неполная ремиссия.
Сравнительная таблица: экземы, псориаз, грибок
Болезни похожи друг на друга, поэтому внимательно ознакомьтесь с симптомами:
- красные пятна с сухими чешуйками;
- шелушение;
- зуд, жжение (иногда);
- папулы с жидкостью (при пустулезном);
- обострение зимой и осенью;
- часто поражение ногтей.
- красновато-розовые пятна с мелкими розовыми пузырьками;
- жжение и сильный зуд;
- мокнутие;
- серозные корки, сухие чешуйки.
- в большинстве случаев локализация: стопы, кисти, ногти, ягодицы, голени;
- сухость, шелушение, чешуйки;
- красные и розовые пятна при некоторых видах грибка.
Лечение псориаза, экземы и других кожных болезней
Лечение псориаза и экземы проводите только после того, как установили точный диагноз с формой заболевания. В этом поможет дифференциальная диагностика и общий осмотр врача-дерматолога.
При псориазе эффективны для лечения следующие методы:
При экземе нужно, в первую очередь исключить или ограничить контакт с аллергенами. Затем можно использовать наружные препараты. Часто используют гормональные препараты, по назначению врача. Также результативна ультрафиолетовая терапия 311 нм.
Мазь от экземы и псориаза подбирает врач, на основании индивидуальных показателей. Лечение дерматита, псориаза, экземы также поможет подобрать дерматолог после обследования.
Выводы
При псориазе пятна красные, кожа утолщенная и покрыта сухими чешуйками. При экземе кожа красновато-розовая, отечная, покрыта мелкими розовыми пузырьками с жидкостью.
Псориаз диагностирует врач, используя феномен псориатической триады: при поскабливании последовательно появляются: стеариновое пятно, терминальная пленка, кровавая роса. При экземе этих явлений нет. Поэтому обратитесь к дерматологу, который поможет определить заболевание и форму.
Псориаз и экзема имеют некоторые общие причины, например, генетическую предрасположенность. Однако экзема вызвана чаще провокаторами-аллергенами: пищевыми, химическими, растительными и другими.
Если вы определились с диагнозом и формой псориаза, читайте материал «Лечение псориаза в домашних условиях, клинике и санатории», где мы собрали все результативные методы терапии.
Ответьте на 4 вопроса и получите индивидуальную инструкцию по лечению Псориаза
Получите пошаговую инструкцию, диету и план лечения!
Бесплатная и эффективная программа от Псориаза!
Выберите любимую социальную сеть:













